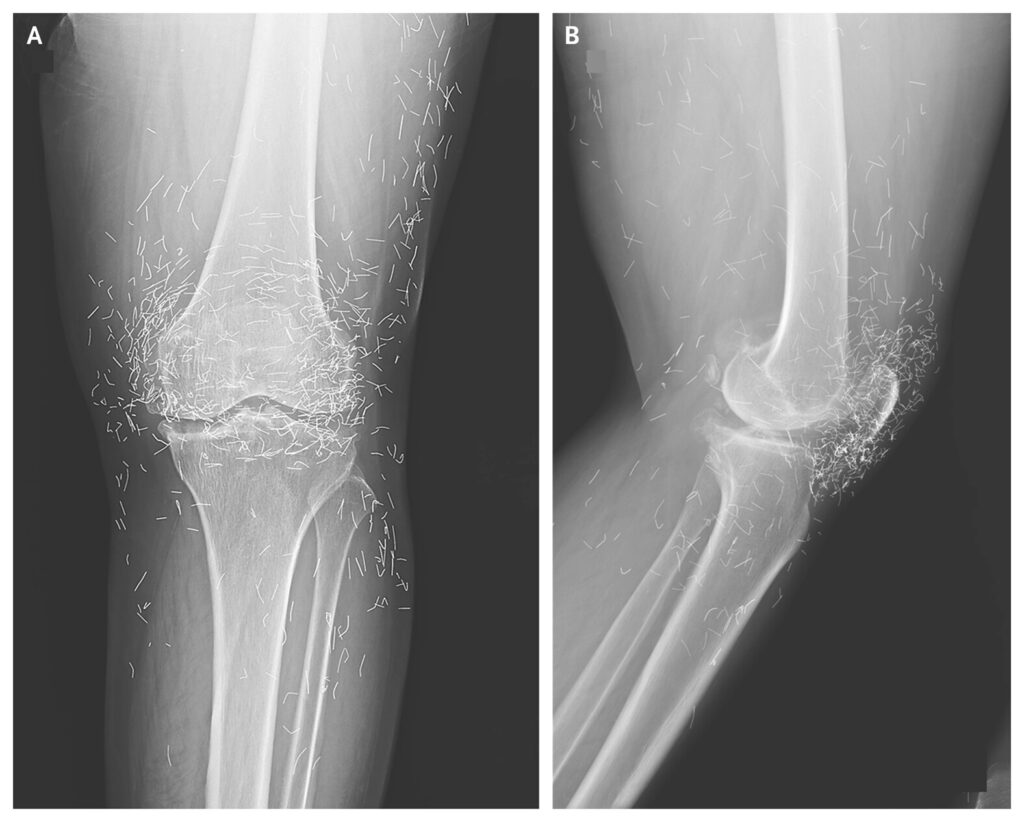
É um corpo estranho dentro do organismo. Isso infelizmente não tem como ser removido. Como é um corpo estranho, pode gerar um quadro de infecção. A paciente foi atrás de um tratamento alternativo para uma doença que tem tratamento eficaz e arrumou um problema que vai acompanhá-la para o resto da vida.
— Alexandre Pena, ortopedista da Beneficência Portuguesa
